专家谈健康
【有“勇”有“谋”战卒中】有“蹼”没“蹼”的颈动脉与脑卒中有关吗?

北京老年医院神经血管介入中心张志勇主任团队推出【有“勇”有"谋"战卒中】专栏,旨在科普脑血管病防治知识,交流脑血管病诊疗经验,探讨脑血管病救治新技术,与大家携手共战卒中,共同防治脑卒中!
欢迎大家关注!

颈动脉蹼
颈动脉蹼也被称为颈动脉非典型性内膜型肌纤维发育不良,是颈动脉壁突出于血管腔内的非动脉粥样硬化性隔膜样结构,好发于颈动脉球或颈内动脉起始处的后壁,可单侧,亦可双侧。病因不明,可以是先天性的、获得性的(某些药物如避孕药、外伤等)。

颈动脉蹼的病理:颈动脉壁突出于血管腔内的非动脉粥样硬化性隔膜样结构。
颈动脉蹼根据是否引起临床症状,分为无症状性及症状性。无症状性通常于无意中发现;症状性颈动脉蹼与青年人群的隐源性卒中、近端大动脉闭塞、卒中复发高风险明确相关,虽然发病率较低,仍需引起人们的重视。
绝大部分颈动脉蹼患者无常见脑血管病危险因素,通常不引起颈动脉明显狭窄。但如果局部血流紊乱、血液淤滞,导致血小板聚集、血栓形成、微栓子脱落等,则会引起脑卒中的发生。
相比无颈动脉蹼的普通人群,颈动脉蹼发生脑卒中的风险增加了4-6倍,且女性多发,临床常见同侧大脑中动脉供血区的症状及体征,少部分可见大脑前动脉或两者同时发生,偶可见同侧视网膜梗死,梗死类型接近于栓塞性卒中,且复发风险高。

颈动脉蹼的诊断主要通过影像学检查,包括颈部血管超声、CTA、MRA、血管壁高分辨核磁及DSA,临床推荐CTA为首选检查方式。
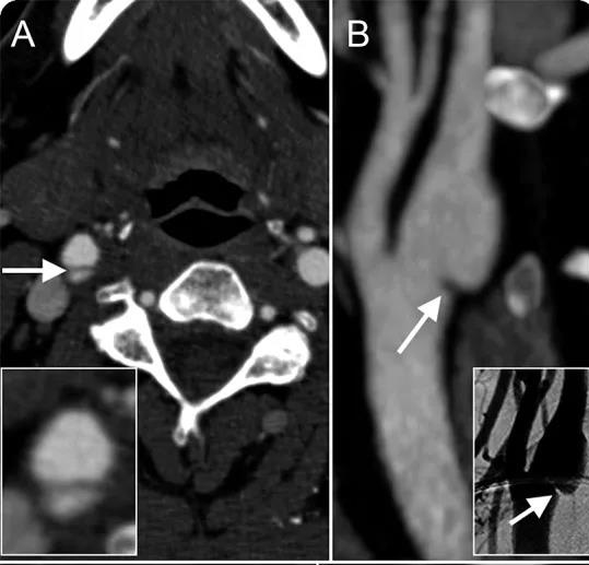
诊断要点:矢状位可见向管腔内突出的膜状充盈缺损,轴位可见隔膜样结构分隔管腔【如上图】。DSA上可见半透明的线性腔内充盈缺损;静脉期蹼远端造影剂排空延迟。
颈动脉蹼最佳治疗方法尚不明确,包括传统药物治疗(抗血小板聚集/抗凝)、手术及支架植入术。无论是单抗还是双抗,均不能有效预防卒中复发。
抗凝治疗从机制上可能合理,但缺乏相关研究。相比内科治疗,外科手术及血管内微创治疗随访1年以上数据显示均无卒中复发。手术切除内膜相对安全,术后并发症少,但相比外科手术,有研究显示血管内支架置入术对于症状性青年颈动脉蹼患者安全性更好。

图:经血管内支架治疗的颈动脉蹼,支架植入后蹼消失。
重点
提炼
颈动脉蹼是一种非动脉粥样硬化性的非典型内膜型肌纤维发育不良。
颈动脉蹼是青年隐源性卒中的重要病因之一,主要表现为同侧大脑中动脉供血区卒中事件,且卒中复发风险较高。
颈动脉蹼的诊断主要依赖影像学,首选CTA检查。
颈动脉蹼的治疗尚无统一标准,但对于症状性青年患者,血管内支架置入术是一种安全可靠的方法。
北京老年医院神经血管介入中心介绍
北京老年医院神经血管介入诊疗中心具备非常成熟的脑血管介入团队,可熟练开展各种常规及复杂性脑血管病变的介入诊疗。团队现有8人,高级职称4人,硕士以上学历占80%。
中心设在神经内科病房内,拥有国际先进水准的卒中单元,共设床位64张。中心配备先进的医疗设备,如经颅多普勒、颈部血管超声、3T高端核磁、双源CT、高端血管造影机等,并拥有高质量的护理团队为临床医疗工作保驾护航。
中心提供7*24小时全天候医疗服务,可以快速、及时、高效的完成各项超急性期或急性期脑卒中血管内介入诊疗。
科室电话:
医生办公室:83183632、83183635
护士站:83183631、83183634
急性脑卒中介入诊疗救治热线:15911098317
专家介绍

医学博士
副主任医师
北京老年医院神经内科副主任
神经血管介入中心主任
首都医科大学神经病学系青委会副主任委员;国家卫健委脑卒中防治专家委员会委员;中国研究型医院学会脑血管病青委会常委;中国卒中学会卒中综合培训专家;北京神经内科学会神经介入分会委员;北京市缺血性卒中血管内治疗质控专家;北京医学会神经病学分会脑血管病学组及脑小血管病学组委员;中国老年医学会院校教育分会卒中学术工作委员会委员等。
工作经历
在中日友好医院神经科工作10余年,累计完成神经介入诊疗手术5000余例,技术成功率100%,挽救了大量的急危重症的脑血管病患者。曾在日本、澳大利亚知名神经疾病中心学习深造,并获部属医院“优秀共产党员”及“优秀医生”等荣誉。于2020年11月人才引进至北京老年医院神经内科工作。
专业擅长
1. 脑血管病血管内介入手术(脑脊髓血管造影;脑动脉狭窄支架置入;急性脑动脉闭塞动脉溶栓、取栓;慢性脑动脉闭塞血管再通;颅内外动脉瘤栓塞;颅内动静脉瘘及颅内静脉系统血栓形成血管内治疗等);
2. 脑血管病病因分析及内科药物综合管理(头晕鉴别、脑梗塞、脑动脉硬化性狭窄、房颤脑栓塞、脑动脉夹层及动脉炎、脑动脉盗血等);
3. 各种神经系统疑难病例的影像学诊断。
出诊地点:
门诊大厅一层 神经内科门诊
出诊时间:
周一全天(普通门诊)
周四下午(专家门诊)