新闻动态
无形的光刀:北京老年医院肿瘤放疗科精准立体定向放射治疗记事
近日,67岁身患晚期肺癌,精准立体定向放射治疗已4年多的刘大爷来医院复查,北京老年医院肿瘤放疗科张建春主任团队对老人进行一番仔细的检查后,告诉陪同的家人,老人病灶仍控制良好,日常生活影响不大。
病例:四年多前......
2016年,家住通州区的刘大爷,突然出现刺激性咳嗽和消瘦、乏力、发热等不适症状,来北京老年医院胸外科就诊,被诊断为“右肺上叶恶性肿瘤中分化腺癌”。
同年5月,在胸腔镜下行“右肺上叶切除+纵膈淋巴结清扫”,术后给予4周期全身辅助化疗,出院后定期复查未见异常。
次年8月,因咳嗽复查胸部CT提示双肺转移瘤,后给予3周期全身化疗,后复查胸部CT提示双肺转移灶较前明显增大,化疗效果不理想。

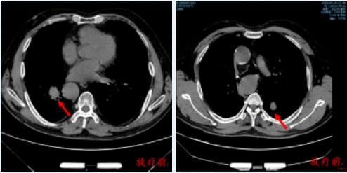
图为 放疗前胸部CT显示病灶位置
2018年3月,经我院肿瘤放疗科会诊后分别给予双肺转移灶立体定向放疗,放疗方案为:
右肺转移灶:PTV/60Gy/8f,左肺转移灶:PTV/60Gy/8f,共 3周完成治疗,过程顺利,未见明显毒副反应。

放疗后1月 胸部CT显示双侧病灶明显缩小
同年5月返院复查,胸部提示双肺转移灶较前明显缩小,未再行全身化疗,后按时复查双肺病灶持续缩小。

放疗后58个月 胸部CT显示双侧病灶控制良好
直至2023年3月返院复查病灶仍控制良好(放疗后4年零11个月),日常生活和活动不受影响,生活质量较高。
科普:什么是立体定向放射治疗?

立体定向放射治疗(Stereotactic Body Radiation Therapy,SBRT)是一种高精度、非侵入性的放射治疗方法,可以对肿瘤进行定位和准确照射,使治疗效果更加显著。
在老年肿瘤患者中,SBRT技术有许多优势:
高精度:SBRT技术可以在毫米级别上对肿瘤进行定位和定向辐射,最大程度避免伤害正常组织。
短程治疗:SBRT通常只需一到五次的辐射治疗,且每次的治疗时间很短,通常仅需一小时左右即可完成。
无需手术:SBRT是非侵入性的治疗方法,可避免老年患者因手术而导致的并发症风险和恢复时间。
老年适用性强:由于老年人身体机能逐渐下降,可能存在其他基础健康问题,不适合进行手术等侵入性手段。而SBRT可以根据患者个体情况量身制定计划,并最大限度地保护正常组织。
治愈率高:相比传统的化学治疗和放射线治疗,在一些特定类型、大小、位置的肿瘤上,SBRT有更高的治愈率和生存率。
总之,精准立体定向放射治疗,就像一把无形的光刀,杀肿瘤细胞于无形,如同外科手术切除肿瘤一样,利用射线来达到精准“切除”肿瘤的目的。
启发:立体定向放射治疗,老年肿瘤患者福音

老年肿瘤患者是一类特殊的群体,患者通常基础疾病多,心肺功能差,自身修复能力弱,治疗意愿下降,对全身化疗及手术耐受性差,大大增加了治疗难度。
运用立体定向放射治疗,可提高放疗精度至毫米级,大大提高靶区适形度,使高剂量区集中在肿瘤组织内,而避开包括骨髓组织在内的周围正常组织,降低毒副反应,属无创治疗、既可门诊治疗、也可住院治疗、总治疗时间短、单次治疗时间每次20~30分钟。具有无需麻醉、术后恢复快、不影响日常生活等优势,可以减少患者的住院时间,降低整体治疗费用。
对于早期肺癌患者而言,立体定向放射治疗可以达到和手术治疗一样的疗效,而且无需麻醉、无手术相关出血感染风险。尤其适合年老、体弱、有合并症的患者。绝大多数患者治疗后可立即恢复正常生活。

北京老年医院肿瘤放疗科张建春主任团队采用精准立体定向放射治疗(Stereotactic Body Radiation Therapy SBRT) 患者无需麻醉、术后恢复快、不影响日常生活,广受好评。未来,更多像刘大爷这样年纪不适宜手术治疗的肿瘤患者将在这里受益。
—END—
北京老年医院肿瘤放疗科介绍
北京老年医院肿瘤放疗科是一个以肿瘤放疗为主的肿瘤综合治疗科室,包括门诊、病房、放射治疗室三部分。肿瘤放疗科门诊位于门诊楼二楼内科三诊区。
为方便患者就医,科室现开放床位15张,以临床医师、物理师、工程师、技师和护士为主的专业团队,提供专业的医疗质量保证。
放射治疗室位于住院一部负一层,现拥有高能加速器、放射治疗计划系统、大孔径CT模拟定位机等肿瘤治疗设备,并配备符合国家标准的质量控制设备,提供肿瘤精确放疗,处国内领先地位,能实施立体定向放疗、三维适形放疗、调强放疗等放疗技术。
科室紧紧围绕老年肿瘤的重点研究方向,正逐步建设成为集医疗、教学、科研为一体全方位发展的科室。
根据老年肿瘤的特点,提供个性化综合治疗,擅长各种老年原发性和转移性的实质器官肿瘤,包括肺癌、肝癌、胰腺癌、鼻咽癌、头颈部肿瘤、恶性淋巴瘤、阴茎癌、前列腺癌、宫颈癌、食管癌、胸腺瘤、直肠癌、乳腺癌、膀胱癌、各种肿瘤引起的骨转移疼痛、上腔静脉压迫综合征等。
专家介绍

从事以放疗为主的肿瘤综合治疗工作30余年,在肿瘤放疗和药物治疗方面积累了丰富的经验。现为中国老年肿瘤学会放疗专委会常委,北京医学会放射肿瘤学分会委员,北京医师协会放疗专委会理事,北京抗癌协会放疗专委会委员。
出诊地点:
门诊二楼 内三诊疗区 肿瘤放疗科诊室
出诊时间:
周一、周三上午,周四全天
联系电话:83183793
作者介绍

胡小龙,主治医师,北京老年医院肿瘤放疗科,放射肿瘤学博士,北京医学会放射肿瘤治疗学分会 青年委员,北京精准放射医学会 委员,北京放射治疗与损伤修复专业委员会 委员。
硕博期间培养于中国人民解放军空军总医院肿瘤放疗中心(全军肿瘤放疗中心),以第一作者发表SCI论著3篇(IF>5分,1篇),中文核心期刊4篇,参与国家级课题1项,全军课题2项,承担院内课题1项。
参与编著人卫版《肿瘤放射外科治疗学》,第四届亚洲放疗年会(FARO)大会发言,第十四届全国老年肿瘤学年会(CGOS)大会发言,第二十四届全国临床肿瘤学(CSCO)大会壁报交流,第十七届全国放射肿瘤治疗学(CSTRO)学术会议壁报交流。
擅长老年肺癌、食管癌、胰腺癌、淋巴瘤、肝癌、头颈部等恶性肿瘤的精确放疗及放疗联合化疗、靶向、免疫等综合治疗。